 |
Wie diagnostiziert man eine Colitis ulcerosa ?
Vorgeschichte: Bei länger bestehendem Durchfall (> 6Wochen) muß der Verdacht auf eine CED (z.B. Colitis ulcerosa) gestellt werden.
Körperliche Untersuchung: Ist oft wenig ergiebig: Man tastet schmerzhafte und verdickte Darmabschnitte. Außerdem lassen sich Komplikationen und extraintestinale Manifestationen vermuten bzw. diagnostizieren.
Sonographie: Im Ultraschall kann man als Ergänzung der körperlichen Untersuchung entzündete Darmabschnitte, Fisteln, Stenosen und Abszesse darstellen.
Labor: Die Entzündungswerte (Blutsenkungsgeschwindigkeit und z.B. C-reaktives Protein) sind häufig (aber nicht immer) pathologisch erhöht. Oft besteht eine Blutarmut.
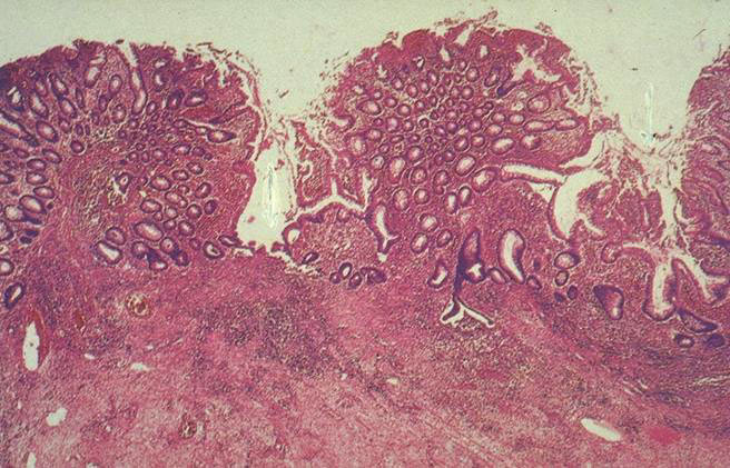
Endoskopie: Die Diagnose wird durch eine Koloskopie (Darmspiegelung) gesichert (diese kann von Experten nahezu immer vollständig schmerzfrei und risikolos durchgeführt werden). Die feingewebliche Untersuchung der Gewebsproben bestätigt die Diagnose. Bei der Colitis ulcerosa sieht man oft eine samtartig verdickte Schleimhaut, die den Blick auf die normale Blutgefäßstruktur nicht zulässt, und erst punktförmige, dann zusammenfließende Geschwüre » A34. Bei der feingeweblichen Untersuchung (Histologie) sieht der Pathologe die Krankheit beweisende Mikroabszesse (Zusammenballung von Eiterzellen). » A37.
Einmal im Jahr sollte man eine Generaluntersuchung machen: Bestimmung von Eisen, Ferritin, Selen, Zink, Vit A,D,E,K und Vit. B12 sowie Folsäure, (nimmt der Darm genug auf ?) Osteodensiometrie (Knochendichtemessung: Osteoporose ?), Eiweiß im Urin (Nierenbeteiligung)
-
» Wodurch entsteht Colitis ulcerosa ?

» Welche Komplikationen kann es geben ?
» Wie ist die Prognose bei Colitis ulcerosa ?
» Wie kann man Colitis ulcerosa behandeln ?
 |
| |
|